此病人为22岁青年女性,因月经期延长3月就诊,经前一周少量血性分泌物三次至月经来潮。超声提示此患者盆腔可见两个子宫体部及两个子宫颈,附件未见异常。下图为此患者MRI图。
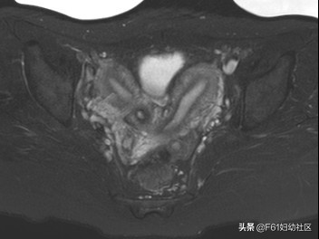
上图为子宫T2WI横断位,能看到两个宫体,子宫内膜增厚。
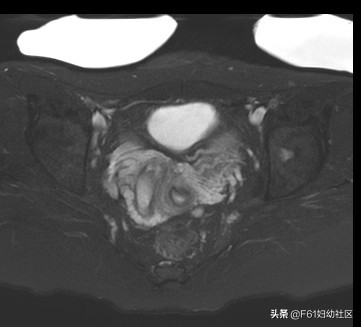
上图为阴道上端横断位图,可见阴道内见一肌性分隔把阴道腔分为两个腔。
上图为MRI定位相图,隐约见右侧肾窝未见右肾组织。
据此,我们根据患者的临床表现诊断患者为阴道斜隔综合征。那么什么是阴道斜隔综合征呢?
阴道斜隔综合征是罕见的女性泌尿及生殖道畸形,其具体胚胎发育机制尚存在争议。阴道斜隔综合征往往在女性青春发育期发现,临床症状表现为痛经、月经淋漓不尽、排尿困难等。该病容易延误诊断,由于患者月经能按时来潮,阴道积血缓慢,容易造成延误诊断。
阴道斜隔综合征主要依靠影像学诊断,如超声、MRI等;阴道斜隔综合征MRI多样,不同发育异常造成解剖结构复杂。阴道斜隔综合征MRI影像主要表现以下四点:
1、阴道上端积血及阴道内可见斜隔终止于一侧阴道壁。
2、合并各种子宫畸形。其中双子宫最常见,MRI表现为双宫体、双宫颈,宫颈内分隔向下延续为阴道斜隔。
3、合并泌尿系统发育异常。以一侧肾脏缺如最常见。一般阴道斜隔综合征都具有合并泌尿道畸形,如不合并则不能诊断为阴道斜隔综合征,仅诊断为阴道斜隔。
4、合并的其他盆腔病变。如盆腔积液、输卵管积血或积液。
临床上也可用触诊对阴道畸形,可探查阴道斜隔位置,如下图:
阴道斜隔探查
本文女性患者MRI表现符合以上四点,F61妇幼社区认为诊断此患者为阴道斜隔综合征是毫无疑问的,最后手术也证实了核磁共振的诊断。

微信扫一扫打赏
支付宝扫一扫打赏