13岁女生挤痘痘诱发败血症!医生紧急提醒:千万不要挤痘痘!

近日,郑州大学第三附属医院收治了一名13岁的女孩。她患有痤疮、发烧和胸痛引起的败血症,这几乎是致命的!医生紧急提醒:千万不要挤脸上的痘痘!
画

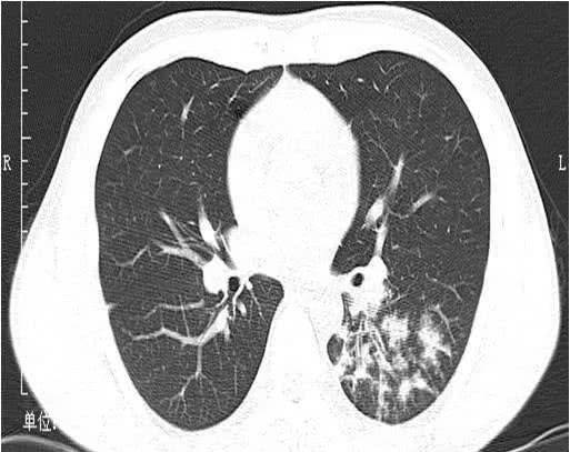
女孩脸上额头长了疖子,想着把疖子挤出来会更好。结果用力挤压后,引起眼眶感染,细菌进入血液循环并在血液中繁殖,引起败血症。除了发烧,这些有毒的金黄色葡萄球菌还被种植在肺部,造成十几个空洞。

挤痘痘很多爱美的女生都有过这种经历。我脸上有丘疹。这些丘疹大多是由局部细菌感染引起的。只要局部保持清洁,几天后就会自行痊愈。如果受到外力挤压,这些细菌就会被挤入血液。当细菌的毒力足够强,数量足够大时,就会引起菌血症。当细菌在血液中繁殖,人体的免疫系统无法杀死它们时,就会引起发热,甚至在许多组织器官中形成细菌种植,形成脓肿病灶,引起严重的败血症。

如果痘痘长在面部危险的三角区,从嘴角两侧到鼻根区的三角区,这里的血液循环非常丰富。一旦出现细菌感染,经静脉挤压后会直接进入颅内静脉海绵窦,引起颅内感染,后果更严重。
医生建议青春期的女生要注意生活规律,减少压力,避免熬夜,这样才能减少痘痘的发生。如果长了很多痘痘,建议去正规医院治疗。千万不要自己挤,以免造成不必要的麻烦。

微信扫一扫打赏
支付宝扫一扫打赏